Causes of Breast Lumps That Aren’t Breast Cancer
For women, noticing a mass in the breast can be frightening, with your mind naturally leaping to breast cancer as...
For women, noticing a mass in the breast can be frightening, with your mind naturally leaping to breast cancer as...
Before Tanja Harrison died of breast cancer, she left the world with a dire message: supplemental screening could have saved...
Breast cancer is the most common cancer in women worldwide. With rates continuing to rise, there is an urgent need...
April 12, 2024 — GE HealthCare, a leader in breast health technology and diagnostics, will feature its latest breast cancer...
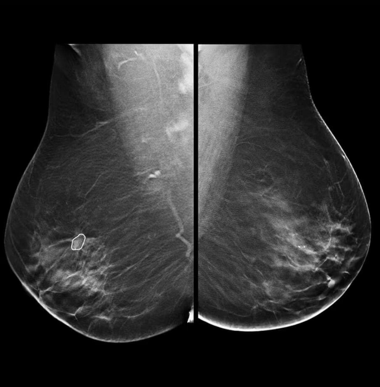
SEATTLE — Women who get their mammograms in the U.S. will now receive an additional layer of information from their...
Share on PinterestThe FDA will now require all mammography reports to include whether a person has breast density, which is...